69°
Baton Rouge, Louisiana
7 Day Forecast
Follow our weather team on social media

Tuesday's Health Report: Getting to know the noncancerous tumor that can form in the brain's membranes

11 months 2 weeks 19 hours ago Tuesday, March 25 2025 Mar 25, 2025 March 25, 2025 4:21 PM March 25, 2025 in Health
Source: CNN

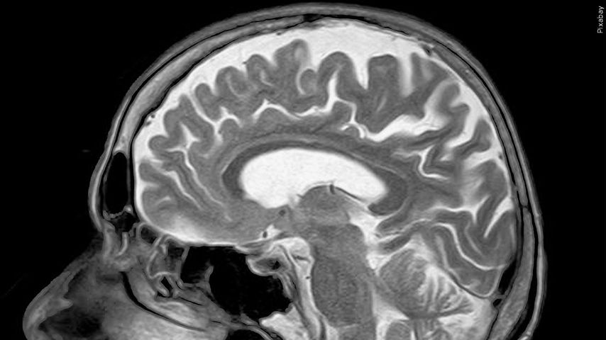
BATON ROUGE — Meningiomas are usually noncancerous tumors that form in the membranes surrounding the brain.

It may sound strange, but some of these tumors may not need treatment, says Mayo Clinic neurosurgeon Dr. Victoria Clark.

"But for the ones that grow or for the ones that cause symptoms, they do require treatment, which is either surgery and/or radiation," neurosurgeon Victoria Clark said.

The goal of the surgery is to take out as much of the tumor as possible.

"Meningiomas have this tendency to enwrap very critical structures, like the types of nerves that control sight or control hearing, facial expression, and also encircle around critical blood vessels," Clark said.

She says better tools allow for better outcomes.

"We have what's called navigation so that allows us to use a pre-op MRI, sort of a GPS for the brain, to know exactly where the tumor is in relationship to the structures that we're trying to preserve and avoid," Clark said.

Advanced imaging tools used in the operating room help ensure surgeons remove all the tumor.

"Brain surgery is much safer with all of these wonderful new technologies," Clark said.

While these advancements help patients now, Dr. Clark is looking to the future.

"My hope is that the research that we will do will create new medical treatments that can be used in combination with the surgeries and radiation that are currently available in order to improve the treatment for patients with meningiomas," she said.

More News

Desktop News

Click to open Continuous News in a sidebar that updates in real-time.
Radar
7 Days