70°
Baton Rouge, Louisiana
7 Day Forecast
Follow our weather team on social media

Study reveals many people skip life-saving lung cancer screenings

2 hours 5 minutes 17 seconds ago Monday, November 24 2025 Nov 24, 2025 November 24, 2025 7:57 AM November 24, 2025 in News
Source: Cnn

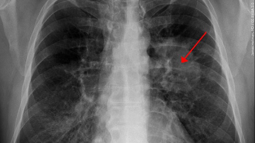
BATON ROUGE — Lung cancer remains the undisputed leading cause of cancer deaths in the United States, tragically killing more people every year than colon, breast, and prostate cancers combined, according to the American Cancer Society.

While there is some good news—the number of new lung cancer cases and deaths continues to decline, largely due to fewer people smoking—the disease is still expected to kill nearly 125,000 people this year alone.

Catching lung cancer early dramatically improves the chances of survival. However, a sobering new study published today reveals that most adults eligible for potentially life-saving screening are skipping it.

The research, led by Priti Bandi, a study author from the American Cancer Society, investigated the rate at which eligible individuals are actually getting screened.

"Screening for lung cancer is an effective tool to prevent cancer death," Bandi stated.

The data estimates that in 2024, only about one in five U.S. adults eligible for lung cancer screening were screened. This lack of participation represents a colossal missed opportunity. The researchers calculated that roughly 62,000 lives could be saved over five years if all who are eligible received the screening.

"It's a sobering finding that the lack of uptake is translating into a real missed opportunity... in terms of the lives that can be saved," Bandi noted.

Bandi pointed to several significant barriers that may be stopping people from getting this essential care:

- Awareness: Many individuals who qualify are simply unaware that lung cancer screening exists.
- Access: Gaining access to screenings is challenging, especially for those living in rural parts of the country.
- Cost: The lack of no-cost health insurance coverage for this care is also a prohibitive factor for some.

Most health organizations recommend a yearly test using a Low-Dose CT (LDCT) scan.

The Centers for Disease Control and Prevention (CDC) explains that during the scan, the patient lies on a table while an X-ray machine uses a low amount of radiation to create detailed images of their lungs. The entire scan is not painful and typically takes only a few minutes.

"Talk to your doctor if you've ever smoked and you're between 50 and 80 years old," Bandi urged.

More News

Desktop News

Click to open Continuous News in a sidebar that updates in real-time.
Radar
7 Days